Recoucou !!
Excuse nous pour ce temps d'attente pour ta 2ème question, mais elle est complètement passée à la trappe et nous nous en excusons... (Voilà pourquoi il vaut mieux poser ses questions une par une).
Pour répondre à ta 2ème question
2) Poly 2, schéma 11 :
Est-ce qu'on considère que l'estomac est retrouvé ventralement au foie ?
Egalement, pourquoi est-ce que dans le poly texte, est écrit que la rate est retrouvée dorsalement au pancréas ?
En réalité sur cette coupe axiale, le Pr. décrit au fur et à mesure les organes que nous voyons tout en essayent de rester anatomiquement juste. Car
il faut faire attention à l'incidence de coupe !!
Ainsi dans le poly texte il est noté que :
- L'estomac est postérieur au foie
- La rate est est postérieure au pancréas
Ces 2 informations sont justes !! Nous allons reprendre tout ça ensemble

Le
foie possède à sa face postérieure plusieurs empreintes qui correspondent aux lieux où se moulent les différents organes digestifs, notamment :
- Une empreinte colique
- Une empreinte duodénuale
- Une empreinte rénale
- Une empreinte surrénalienne
- Une
empreinte gastrique où se moule l'estomac : ainsi
la partie gauche du foie passe en avant de l'estomac
Le lobe droit du foie est extrêmement volumineux et occupe la quasi totalité de l'hypochondre droit. Puis la partie gauche du foie s'étend en avant de l'estomac dans l'épigastre, puis dans l'hypochondre gauche.
Ainsi sur cette incidence de coupe en T11 :
- Le foie parait latéralisé à gauche
- L'estomac parait latéralisé à droite

Pour la seconde partie concernant les rapports spléno-pancréatique :
- Sur les schémas
on ne voit qu'une petite partie de la rate à cause de l'incidence de coupe, ainsi elle parait en avant (mais ce n'est pas le cas)
- En effet la rate est située
à l'extrémité de la queue pancréatique
- De plus, afin de bien comprendre il faut savoir que le pancréas est un organe profond (et plus particulièrement avec sa queue qui correspond à sa partie la plus profonde)
Ainsi
la rate est bien située en arrière du pancréas !
C'était assez compliqué de l'expliquer à l'écrit donc j'espère que cette réponse est suffisamment claire pour toi ?! Si ce n'est pas le cas n'hésite pas à nous relancer pour que l'on te réexplique au mieux !
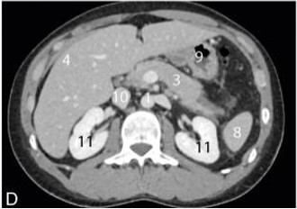
Je t'ai mis un schéma et une coupe axiale d'un scanner abdominal légendé pour que tu visualises au mieux :

- 278443391_366264618765316_6635411189239986257_n.png (327.55 Kio) Consulté 2519 fois

- Capture d’écran 2022-04-19 191537.jpg (20.75 Kio) Consulté 2519 fois
Voici les légendes : 3 = Pancréas / 4 = Foie / 8 = Rate / 9 = Estomac
Bon courage pour cette période de révision !!
Plein de bisous <3