Salut Antoine !

En effet,
l'aorte abdominale est
antérieure au rachis. Ainsi, on pourrait ajouter une
vertèbre en coupe sur le schéma, elle serait alors postérieure à l'aorte et antérieure à la peau

Ensuite, il faut garder en tête que ce schéma correspond à une
coupe axiale simplifiée de l'abdomen. Par conséquent, la "zone grisée" dont tu parles et qui emballe tous les éléments correspond bien à la
peau ! Fais attention à l'orientation de ton schéma pour identifier la coupe : coronale, axiale, etc.

Sur ta coupe, le corps de la
vertèbre serait quant à lui plutôt carré, avec ses deux processus transverses latéraux et son unique processus épineux postérieur. Je t'ai joint ci-dessous le schéma de l'an dernier sur lequel figure le rachis

- coupe axiale abdomen.png (122.43 Kio) Consulté 4243 fois
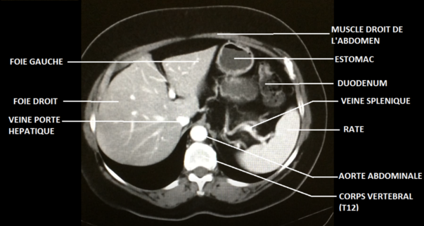
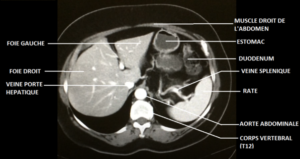
En bonus pour mieux visualiser, je te joins aussi une coupe axiale issue d'une tomographie sur laquelle tu visualises bien la
vertèbre qui se situe en arrière de l'aorte et la
peau (le liseré gris) qui entoure l'ensemble des éléments
Petit rappel : concernant l'orientation, on suit ici la
convention radiologique (l'orientation est la même que sur le schéma ci-dessus

)

- tomographie abdomen.png (214.46 Kio) Consulté 4243 fois
J'espère t'avoir éclairé ! Bonne soirée à toi et bon courage, toute la team Destrieux croit en toi
